+0442360236
17 rue Montriand, 13124 Peypin

Blog - Page 11

Si vous passez vos vacances à l’étranger...

Si vous passez vos vacances à l’étranger...

Un souci dentaire survenant lorsque vous êtes à l’étranger peut très vite se compliquer en cas de problème de communication avec le praticien consulté.

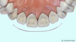
Fil de contention

Fil de contention

Conséquence de la perte des dents postérieures

Conséquence de la perte des dents postérieures

Protocole de dévitalisation d'une dent ou traitement endodontique

Protocole de dévitalisation d'une dent ou traitement endodontique

Parodontite et formation de la poche parodontale

Parodontite et formation de la poche parodontale

Le surfaçage

Le surfaçage

Affichage des articles 61-66 sur 192

Création par Webdentiste

Connexion