+33 4 42 36 02 36
17 rue Montriand, 13124 Peypin

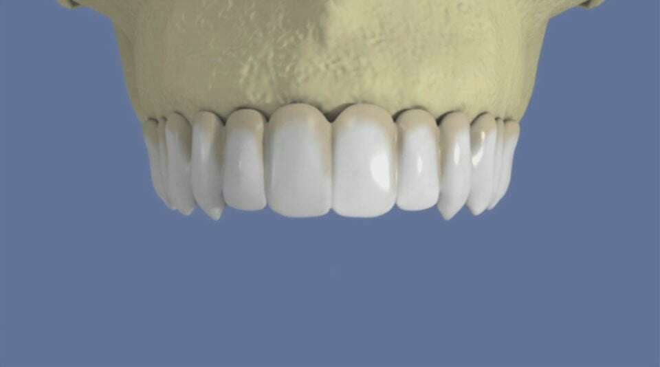
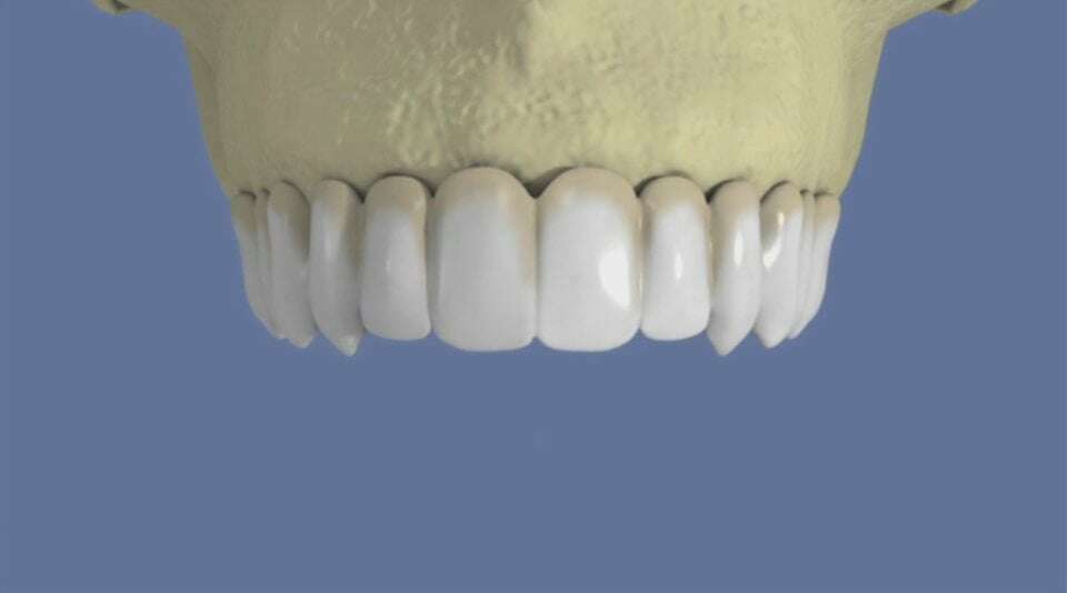
Maxillaire : bridge vissé sans fausse gencive


video-play-icon

Création par Webdentiste

Connexion